ตัดถุงไขมันใต้ตา

ตัดถุงไขมันใต้ตา

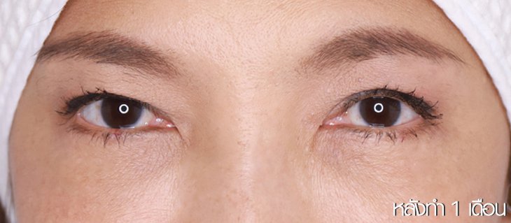
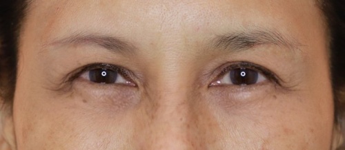
ปัญหาของเปลือกตาล่างหรือปัญหาถุงไขมันใต้ที่มีขนาดใหญ่ อาจมีสาเหตุจากลักษณะทางกรรมพันธุ์ โดยถุงใต้ตาที่โตขึ้นนั้นเกิดจากผิวหนังที่หย่อนคล้อยลงและมีไขมันที่เปลือกตาล่างมากขึ้นร่วมด้วย ส่งผลทำให้ดวงตาดูอ่อนล้าและทำให้ใบหน้าดูมีอายุ การแข้ไขปัญหาเปลือกตาล่าง ทางศัลยแพทย์ตกแต่งจะทำการรักษาโดยการผ่าตัดนำชิ้นไขมันที่อยู่บริเวณใต้ตาออกอย่างเหมาะสมและจัดเรียงไขมันใต้ตา ในกรณีที่ผิวมีความหย่อนคล้อยร่วมด้วย แพทย์จะมีการตัดตกแต่งและเย็บเก็บผิวหนังส่วนเกินโดยซ่อนแผลไว้แนวขอบขนตาล่าง

ตัดถุงไขมันใต้ตา เหมาะสำหรับ

ผู้ที่มีปัญหาถุงไขมันใต้ตาเยอะ

ผู้ที่มีปัญหาถุงไขมันใต้ตาเยอะ

ผู้ที่มีปัญหาผิวหนังใต้ตาหย่อนคล้อยเกิดจากกรรมพันธุ์หรืออายุที่มากขึ้น

ผู้ที่มีปัญหาผิวหนังใต้ตาหย่อนคล้อยเกิดจากกรรมพันธุ์หรืออายุที่มากขึ้น

ผู้ที่มีปัญหาผิวหนังส่วนเกินบริเวณใต้ตา ตาลึก ตาดูเหนื่อยล้า

ผู้ที่มีปัญหาผิวหนังส่วนเกินบริเวณใต้ตา ตาลึก ตาดูเหนื่อยล้า

W Hospital VDO Review จาก YouTube

ทำไมต้องเลือก ตัดถุงไขมันใต้ตา

ซ่อนแผลไว้ขอบตาล่าง พร้อมกระชับผิวหนังใต้ตาให้เรียบเนียน

บวมช้ำน้อย

พักฟื้นระยะสั้น

รอยแผลแทบมองไม่เห็น

ผ่าตัดโดยศัลยแพทย์เฉพาะทาง

Q & A (คำถามที่พบบ่อย)

" ไม่ต้องพักฟื้นสามารถทำงานได้ตามปกติ หลีกเลี่ยงการขับรถหรือกิจกรรมที่ต้องใช้สายตามในการมองมากเกินไป "
" แต่งหน้าได้ปกติ โดยเว้นบริเวณแผลอย่างน้อย 5-7 วัน เมื่อตัดไหมแล้วสามารถแต่งหน้าได้ตามปกติ "
" ช่วงระยะเวลา 5-7 วันแรก แพทย์จะแนะนำให้ใส่แว่นสายตาแทนการใส่คอนแทคเลนส์ เพื่องดการรบกวนบริเวณแผลขณะใส่คอนแทคเลนส์ "

รีวิวเพิ่มเติม

โปรโมชั่น / เกร็ดความรู้

ปรึกษา ตัดถุงไขมันใต้ตา ฟรี

ปรึกษาแพทย์ ตัดถุงไขมันใต้ตา (ไม่เสียค่าใช้จ่าย)

คลิกเพื่อขอคำปรึกษา

บริการอื่นๆ

โรงพยาบาลศัลยกรรมตกแต่งดับเบิ้ลยู

เปิดให้บริการทุกวัน 10.00 - 20.00 pm.

TEL. 091-774-6666 | 02-066-4242
สอบถามข้อมูลและโปรโมชั่น